This case came in one Monday evening. Seeing as it was my last patient, I thought I’d take a few photos of the case as it is quite an interesting one!
This lady was coming in for a “routine check-up”. I had never seen her before but as her previous dentist had retired, she decided to try our clinic out. She mentioned that she attends the dentist every 6 months for her check-up and wanted to keep up the good habit (I always tell my patients: “the ones who come every 6 months are the ones who need the least amount of treatment”).
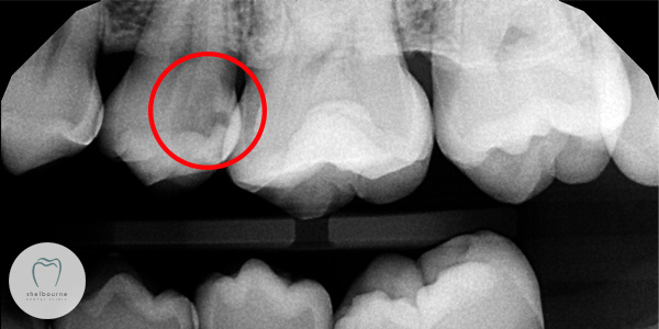
I’m posting up this case as during our oral health check, we would usually take a set of routine x-rays of the back teeth, to check for decay between the teeth where we can’t see.

Have a look at this picture. All looks pretty good doesn’t it? Until, I look at the x-ray of these same teeth. I’m specifically looking at the tooth with the red dot on it – Suddenly things aren’t so pretty….

See that dark area which I’ve circled in red? Know what it is? Yep…. it’s DECAY! Dental Decay. We dentists call it “dental caries”. And lots of it there too. This decay is well into the tooth, to the point where it is practically sitting on top of the nerve (the black line going up the root of the tooth).
I need to get this sorted out quickly. This next photo shows the actual decay beneath the surface of the tooth. Brown, sticky and mushy….uugghhh!
How has this happened? The top of the tooth looked absolutely fine? You see, the problem here is not on the top of the tooth. It’s BETWEEN the teeth. Food gets stuck between the teeth and if interdental cleaning (flossing and interdental brushing) isn’t performed, decay sets in between the teeth.

Looks nasty doesn’t it?

Now I have the decay removed and the cavity is nice and clean, I can go ahead and restore the tooth. We’re going to use tooth coloured filling material (composite resin) to restore the tooth to normal.

After removing the green rubber dam, I do a quick check of the bite to make sure it feels comfortable for the patient. I also make sure my filling is nice and snug against the neighbouring tooth. It should be “nice and tight” when you floss it. If it isn’t, then food is going to get stuck in here again and cause further decay 🙁
And that’s it folks. Here is the final image of the filling in the tooth. I just hope that my patient will be a champion at flossing between her teeth from now on 😉

Written by Dr. Mark Kelly.Not so hot on flossing? Embarrassed about your smile? Please let us help you! If you’re looking for a dentist in Dublin, we’re always happy to accept new patients. You can book an appointment online or call our reception team at 01-6655900. And as always, you can email us at info@shelbourneclinic.ie – during office hours we always aim to respond to queries within 30 minutes.









